
“Esta IA puede decirle a una mujer que tiene un alto riesgo de desarrollar cáncer de mama antes de desarrollar cáncer de mama”, aseguró Larry Norton, director médico del Lauder Breast Center en el Memorial Sloan Kettering Cancer Center. Ha permitido identificar casos de indicios de cáncer que no se detectan en una mamografía tradicional, una evolución tecnológica sin duda va en directa relación con la vida de las personas.
La Inteligencia Artificial, en palabras simples, se refiere a programas informáticos o algoritmos, que utilizan datos para tomar decisiones o hacer pronósticos. Para crear un algoritmo, los científicos programan una serie de reglas o instrucciones, para que el computador analice los datos y tome una decisión.
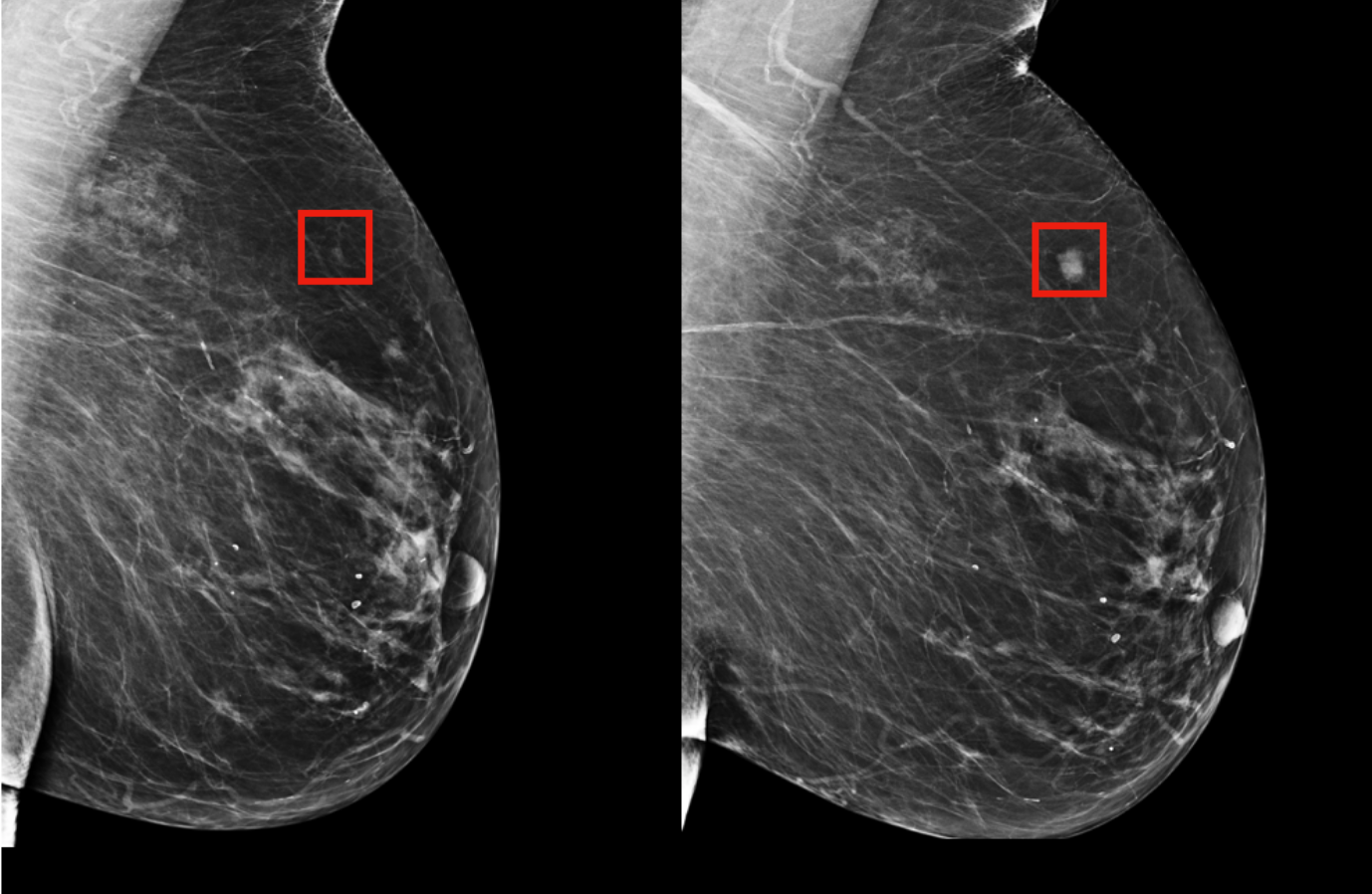
Para Norton, “la tecnología se va poniendo cada vez mejor”. La herramienta de IA que utilizó el Instituto de Tecnología de Massachusetts (MIT), predijo el cáncer de mama al identificar un área de “alto riesgo” en el seno de una mujer que desarrolló esta enfermedad cuatro años después.
El cáncer de mamas es una enfermedad producida por el crecimiento anormal de las células del epitelio (capa que recubre) los conductos mamarios y que puede ramificarse. Entre el 5 y el 10% obedecen a factores genéticos, mientras que más de un 80% aparece de “manera espontánea”. Según la Organización Mundial de la Salud (OMS), durante el 2020 se le diagnosticó cáncer de mama a 2,3 millones de personas y 685.000 mujeres murieron por este padecimiento.
La principal causa de muerte en las mujeres en Chile
El cáncer de mama es la principal causa de muerte de las mujeres en Chile, cada ocho horas, una mujer muere a raíz de esta enfermedad. Es por esto, que las campañas de prevención se han vuelto determinantes para lograr la detección temprana de esta enfermedad.
Además de realizarse chequeos anuales como las mamografías, pues se ha observado que un tratamiento en etapas tempranas del cáncer tiene mayores porcentajes de éxito, también el llamado es siempre realizarse el autoexamen, a través de la palpación y la observación.